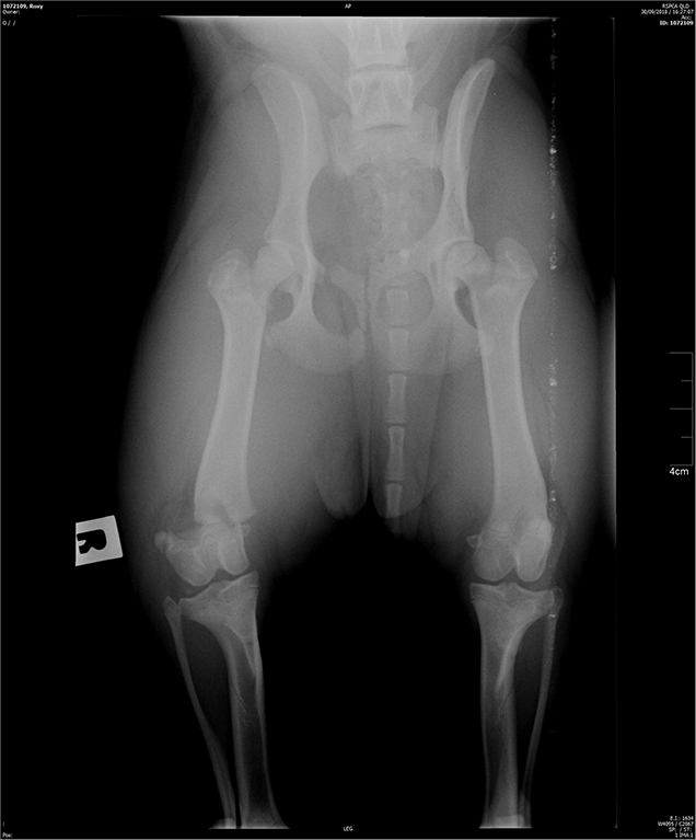
Roxy, a 7-month-old English Staffordshire Bull Terrier cross was surrendered to the RSPCA with a right hind distal femoral fracture. Her injury was sustained when she jumped out of the owner’s car window while in transit.
Roxy’s story is one of many nationwide, as RSPCA statistics reveal the 5,000 dogs each year are either injured or killed as a result of jumping from a moving car. A dog that is unrestrained in a car can distract the driver by jumping on their lap as well as cause serious injury to the dog and occupants of the car if a collision was to happen and the animal was thrown into the air.
